How Delicate Dental Helps Protect Your Teeth From Further Decay
What Is A Dental Filling?
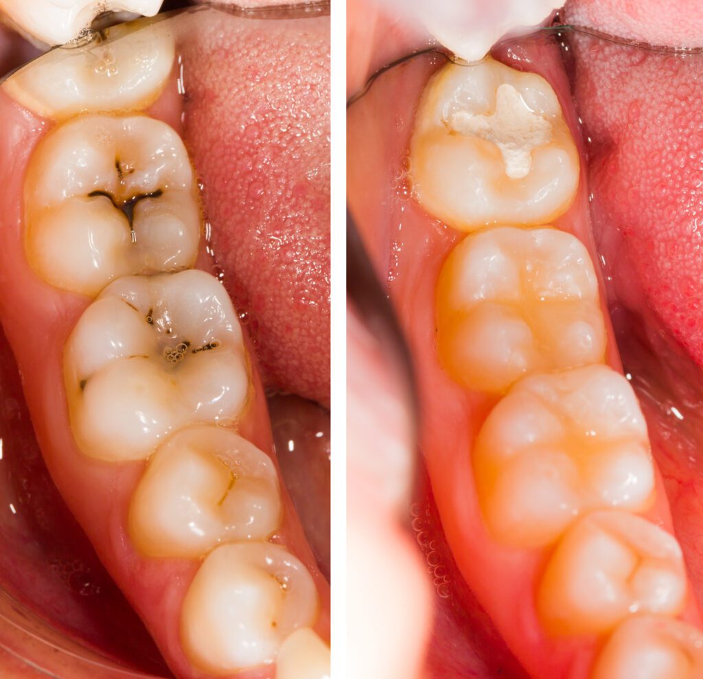
Fillings are a way to restore a tooth that has been damaged by decay and bring it back to its normal shape and function. When Dr. Ponce gives you a filling, they will first remove all of the decay on the tooth and clean the area, and then they will fill the cleaned out cavity with a filling material. Once Dr. Ponce has closed up the area, bacteria will not be able to enter, protecting the tooth from further decay. This doesn’t mean that you can stop brushing and flossing though. Without proper hygiene habits, decay can come back.
What Are Fillings Made Of?
Fillings are made of different types of materials. There are gold fillings, silver fillings (AKA) amalgam, composite resin fillings, and porcelain fillings. Dr. Ponce will recommend the best type of material for your filling.
How Do I Know I Need A Filling?
That’s the million dollar question! You don’t always know when you need one. That is why it’s important to come in and see us twice a year. This will allow us to spot decay before it’s too late. Our biggest concern is your longterm oral health. If you think that you might need a filling or haven’t seen us in a while, give us a quick call at (702) 570-3320 or send us an email to schedule a cleaning and consultation.
We look forward to seeing you.

